Telepathologie
Alle Kurspräparate sind ab sofort nur noch über das BLACKBOARD zugänglich. Fort- und Weiterbildung:
Schnittseminare der DVG-Fachgruppe Pathologie (Zugänge zu den digitalen Präparaten)
Telepathologie: Einführung
Als erster medizinischen Bildungsstätte in Deutschland steht dem Institut für Pathologie des Fachbereichs Veterinärmedizin seit kurzem ein „ScanScope“ (Firma Aperio) zur Verfügung. Das Gerät ermöglicht die vollständige Digitalisierung von histologischen Präparaten bei sehr starker Auflösung (400x) und funktioniert im Prinzip wie ein gewöhnlicher Scanner, nur in völlig anderen Dimensionen. Das Ergebnis ist ein digitales, histologisches Präparat, das wie ein Glasobjektträger unter dem Mikroskop am Computer betrachtet werden kann. Der Computer ersetzt so das Mikroskop als „virtuelles Mikroskop“. Diese Technologie erlaubt das Arbeiten mit digitalisierten, histologischen Präparaten über große Entfernungen ohne ein Mikroskop. Auch Konferenzen mit mehreren Teilnehmern sind möglich. Diese Schlüsseltechnologie öffnet den Zugang zu vielen weiteren Möglichkeiten wie zum Beispiel digitale Anmerkungen und Beschreibungen im Präparat (Annotationen) oder mögliche Bildanalysen.
Histologisches Präparat:

Ansicht des virtuellen histologischen Präparats am Computer:
(Klicken auf das Bild öffnet das Präparat mit Zoomify in einem separaten Fenster)
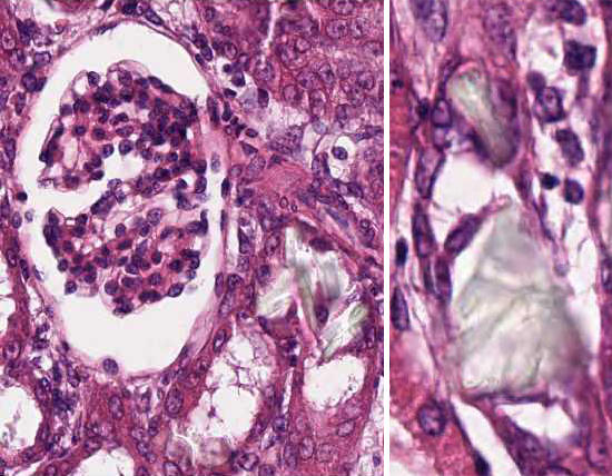
Glomerulum und Oxalatkristalle im Tubulus 20x Tubulus mit Oxalatkristallen 40x
Am Fachbereich kommt zur Betrachtung der Bilder am Computer Zoomify Enterprise zum Einsatz. Dabei wird die Bilddarstellung in den verwendeten Internet-Browser integriert. Die Vorteile liegen im Verzicht auf zusätzliche Software-Installationen auf dem verwendeten Rechner und dem geringeren Bedarf von Datentransport, was insbesondere bei Verwendung von Modem- und ISDN-Verbindungen zum Tragen kommt. Didaktisch stellt die Möglichkeit der integrierten Darstellung von Annotationen einen großen Mehrwert da.
Serverbereitstellung: IT-Abteilung des Fachbereichs Veterinärmedizin
Dienstintegration: mib solutions GmbH, Berlin
Hinweis zur Verwendung der digitalen Präparate:
Je nach Größe des verwendeten Bildschirms bzw. der verwendeten Auflösung variiert der darstellbare Bildausschnitt (was dazu führen kann, dass bei mehreren Annotationen in einem Ausschnitt, diese teilweise in den Randbereich des Bildes rücken können). Zur möglichst effizienten Nutzung der Bildschirmfläche empfiehlt sich die Nutzung des Vollbildmodus.
Dabei ist zu beachten, dass eine Änderung der Fenstergröße ("maximieren" oder "verkleinern") genauso wie ein Wechsel in den Vollbildmodus oder wieder in die normale Ansicht zurück zu einem Neuaufbau der Seite führt (Ausgangsposition mit Präparateübersicht). Eventuell bereits eingestellte, vergrößerte Ausschnitte gehen also verloren! Deshalb immer erst die gewünschte Anzeige wählen und dann erst "mikroskopieren".
Tipp: Drücken der Taste "F11" wechselt in bzw. aus dem Vollbildmodus!
Die histologischen Kurspräparate stehen als Blackboard-Kurs "Pathologisch-histologische Präparate" zur Verfügung (Blackboard-Login).
Eine Auswahl digitaler Präparate findet sich in der Galerie "Digitale Präparate".
Schlagwörter
- FU, Freie Universität Berlin, Fachbereich Veterinärmedizin, Institut für Veterinär-Pathologie, Histologie, Bilder, Image-Server
